Skip to content

Coeliac disease

Coeliac disease is an autoimmune condition caused by sensitivity to the protein gluten. It is thought to affect around 1% of the UK population. Repeated exposure leads to villous atrophy which in turn causes malabsorption. Conditions associated with coeliac disease include dermatitis herpetiformis (a vesicular, pruritic skin eruption) and autoimmune disorders (type 1 diabetes mellitus and autoimmune hepatitis). It is strongly associated with HLA-DQ2 (95% of patients) and HLA-DQ8 (80%).

In 2009 NICE issued guidelines on the investigation of coeliac disease. They suggest that the following patients should be screened for coeliac disease:

Signs and symptoms

  • Chronic or intermittent diarrhoea
  • Failure to thrive or faltering growth (in children)
  • Persistent or unexplained gastrointestinal symptoms including nausea and vomiting
  • Prolonged fatigue ('tired all the time')
  • Recurrent abdominal pain, cramping or distension
  • Sudden or unexpected weight loss
  • Unexplained iron-deficiency anaemia, or other unspecified anaemia

Conditions

  • Autoimmune thyroid disease
  • Dermatitis herpetiformis
  • Irritable bowel syndrome
  • Type 1 diabetes
  • First-degree relatives (parents, siblings or children) with coeliac disease

Complications

  • anaemia: iron, folate and vitamin B12 deficiency (folate deficiency is more common than vitamin B12 deficiency in coeliac disease)
  • hyposplenism
  • osteoporosis, osteomalacia
  • lactose intolerance
  • enteropathy-associated T-cell lymphoma of small intestine
  • subfertility, unfavourable pregnancy outcomes
  • rare: oesophageal cancer, other malignancies

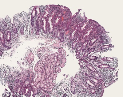
Duodenal biopsy from a patient with coeliac disease. Complete atrophy of the villi with flat mucosa and marked crypt hyperplasia. Intraepithelial lymphocytosis. Dense mixed inflammatory infiltrate in the lamina propria.

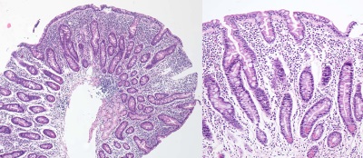
Duodenal biopsy from a patient with coeliac disease. Flat mucosa with hyperplastic crypts and dense cellular infiltrate in the lamina propria. Increased number of intraepithelial lymphocytes and vacuolated superficial epithelial cell vacuolated superficial epithelial cells. Higher magnification image on the right.