Von hipple Lindau Syndrome
Von Hippel-Lindau syndrome
Von Hippel-Lindau (VHL) syndrome is an autosomal dominant condition predisposing to neoplasia. It is due to an abnormality in the VHL gene located on short arm of chromosome 3
Features
- cerebellar haemangiomas: these can cause subarachnoid haemorrhages
- retinal haemangiomas: vitreous haemorrhage
- renal cysts (premalignant)
- phaeochromocytoma
- extra-renal cysts: epididymal, pancreatic, hepatic
- endolymphatic sac tumours
- clear-cell renal cell carcinoma
![]() | |
| Β© Image used on license from Radiopaedia | ![]() |
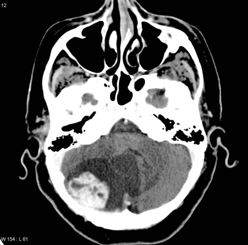
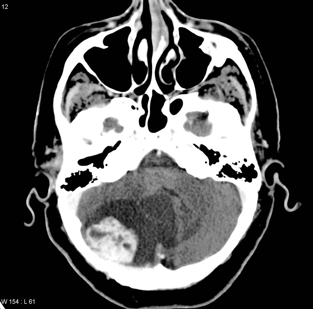
CT scan showing a cerebellar haemangioma in a patient with Von Hippel-Lindau syndrome.
![]() | |
| Β© Image used on license from Radiopaedia | ![]() |
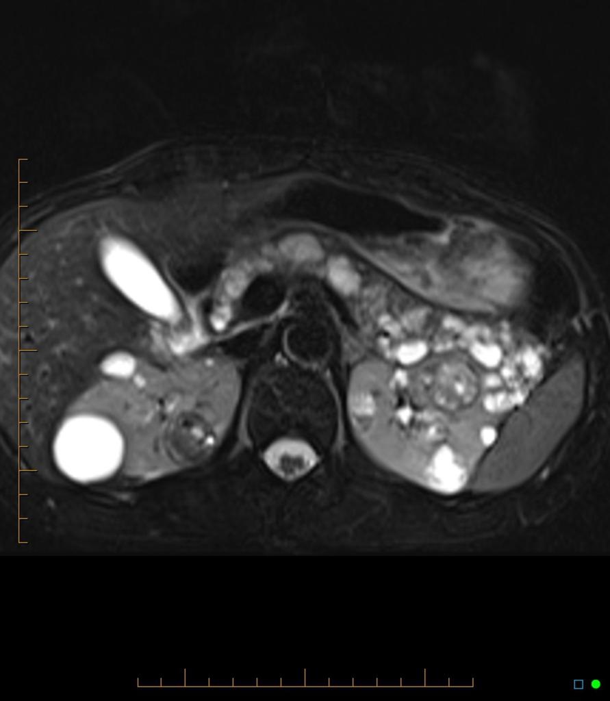
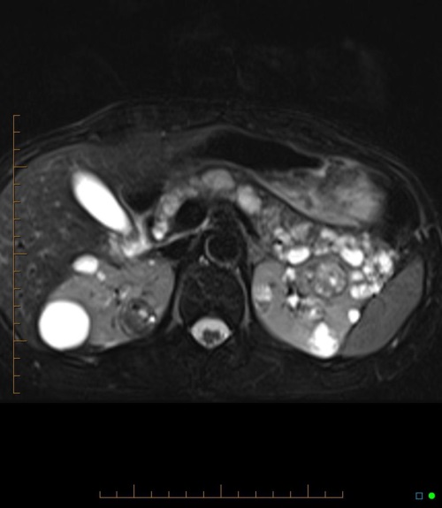
MRI showing renal cysts in patient with known Von Hippel-Lindau syndrome.


